2月17日,中科院院士、解放军总医院第五医学中心(302医院)教授王福生领衔的团队,在《柳叶刀呼吸医学》期刊上发表了首份新冠肺炎逝者病理报告。
《中国科学报》发现,这项病理分析通过对一位新冠肺炎逝者进行微创病理检查获得,而非完整尸检。
这与2月16日在武汉金银潭医院开展的两例新冠肺炎逝者的遗体解剖病理诊断有所不同。

王福生团队在论文中表示,总体来说,新冠肺炎传染性很强,有一定致命性,病死率为2%。严重时,可导致大量肺泡损伤和进行性呼吸衰竭。
然而,由于尸检或活检难以实现,目前尚无病理学报告。
在最新研究中,研究组通过在患者死后穿刺获取组织样本,分析了一名死于新冠病毒严重感染伴严重急性呼吸综合征患者的病理特征。
论文作者强调,该研究符合中国国家卫生健康委员会的规定和赫尔辛基宣言,将有助于了解新冠肺炎的发病机制,并改进这种疾病的临床治疗策略。
患者的治疗过程
2020年1月21日,一名50岁男子因发烧、寒战、咳嗽、疲劳和呼吸急促等症状于发热门诊就诊。
他曾在1月8日至12日去过武汉,1月14日(发病第1天)出现轻微寒战和干咳的最初症状,但没有去看医生,并一直工作到1月21日。
胸片显示,患者两肺多处斑片状阴影。通过取咽拭子标本,北京市疾病预防控制中心(CDC)于1月22日(发病第9天)通过反向实时PCR检测证实该患者有COVID-19。

患者立即被送进隔离病房,并通过面罩供氧。给予干扰素a-2b雾化吸入,洛匹那韦加利托那韦口服进行抗病毒治疗,莫西沙星静脉滴注以预防继发感染。
由于患者发生严重的呼吸窘迫和低氧血症,研究组给予甲基强的松龙静脉注射以治疗肺部感染。
服药后体温由39.0℃降至36.4℃,然而咳嗽、呼吸困难和疲劳并没有改善。
发病第12天,在最初症状之后,胸部x线片显示在两个肺中出现进行性浸润和弥漫的网格状影。
患者有幽闭恐惧症,多次拒绝进重症监护室接受呼吸机支持治疗,改为接受经鼻高流量氧疗(HFNC)(60%浓度,流量40 L/min)。
发病第13天,病人的症状仍无改善,但血氧饱和度保持在95%以上。
发病第14天下午,他的低氧血症和呼吸窘迫迅速恶化。尽管接受了HFNC氧疗(100%浓度,流速40 L/min),其血氧饱和度值还是下降到60%,并发生心脏骤停。
研究组立即对患者进行有创通气、胸部按压和肾上腺素注射治疗,但很不幸,抢救未成功。患者于北京时间1月27日18时31分死亡。
病理特征

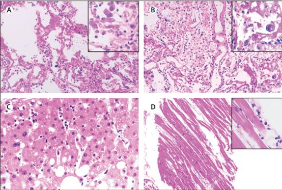
活检样本取自患者的肺、肝和心脏组织。
组织学检查显示,双侧肺泡损伤伴细胞性的纤维黏液样渗出物(图A,B)。
右肺可见明显的肺细胞脱落和透明膜形成,显示患有急性呼吸窘迫综合征(ARDS,图A)。
左肺组织表现为肺水肿伴透明膜形成,显示患有早期ARDS(图B)。
双肺可见间质单核炎性细胞浸润,以淋巴细胞为主。
肺泡腔内可见多核合胞体细胞,胞核大,双亲性颗粒细胞质,核仁明显,呈病毒性细胞病变样改变。
未发现明显的核内或胞浆内病毒包涵体。
新冠肺炎的病理特征与SARS和中东呼吸综合征(MERS)冠状病毒感染相似。
此外,新冠肺炎患者的肝样本显示中度微血管脂肪变性和轻度肝小叶和门静脉活动(图C),表明损伤可能由新冠病毒感染或药物性肝损伤引起。
间质内有少量单核炎性细胞浸润,但心脏组织无其他实质性损伤(图D)。
研究组对患者的外周血进行流式细胞术分析,发现CD4和CD8 T细胞数量显著减少,但其状态为超活性,HLA-DR和CD38双阳性率高。CD4 T细胞中的高刺激性CCR4+ CCR6+ Th17浓度增加。
此外,CD8 T细胞中含有高浓度的细胞毒性颗粒,其中穿孔蛋白阳性的细胞占31.6%,粒溶蛋白阳性的细胞占64.2%,粒溶蛋白和穿孔蛋白均为阳性的细胞占30.5%。
研究结果表明,T细胞的过度激活,表现为Th17的增加和CD8T细胞的高细胞毒性,部分说明了该患者为何发生严重免疫损伤。
总 结
研究人员提出,总而言之,X线片显示患者肺炎进展迅速,左肺和右肺之间存在一些差异。
此外,肝组织显示中度微血管脂肪变性和轻度小叶活动,但没有确凿的证据支持新冠病毒感染或药物性肝损伤是病因。
心脏组织未见明显组织学改变,提示新冠病毒感染可能不会直接损害心脏。
虽然不推荐常规使用皮质类固醇治疗新冠肺炎,但研究组根据对肺水肿和肺透明膜形成的病理诊断,认为重症患者应考虑及时、适当地使用皮质类固醇和呼吸机支持,以防止ARDS的发生。
同时,淋巴细胞减少是COVID-19患者的常见特征,这很可能与疾病严重程度和死亡率有关。
微信登录
我要订阅




